Τελευταία Νέα
Διεθνή

Ραγδαία αύξηση παιδιών με εγκεφαλικά αποστήματα - Το CDC ερευνά υποθέσεις ανηλίκων που βρέθηκαν «απίστευτα άρρωστα» - Ο ρόλος Covid

Ραγδαία αύξηση παιδιών με εγκεφαλικά αποστήματα - Το CDC ερευνά υποθέσεις ανηλίκων που βρέθηκαν «απίστευτα άρρωστα» - Ο ρόλος Covid
Δεν είναι σαφές εάν οι περιορισμοί του COVID θα μπορούσαν να έχουν προκαλέσει εξασθενημένη ανοσία, λένε οι γιατροί
Σχετικά Άρθρα
Οι περιπτώσεις εγκεφαλικών αποστημάτων σε παιδιά τριπλασιάστηκαν πέρυσι στη νότια Νεβάδα, θέτοντας σε συναγερμό τα Κέντρα Ελέγχου και Πρόληψης Νοσημάτων (CDC) των ΗΠΑ τα οποία ξεκίνησαν να διερευνούν πιθανούς λόγους για την εν λόγω απότομη αύξηση.
Ο Δρ Taryn Bragg, παιδονευροχειρουργός στο Intermountain Primary Children's Hospital στο Λας Βέγκας της Νεβάδα, ανέφερε τον απροσδόκητο αριθμό περιπτώσεων στην Υγειονομική Περιοχή της Νότιας Νεβάδα, η οποία εξέδωσε συμβουλές περί δημόσιας υγείας τον Ιανουάριο του 2023.
«Αρχίσαμε να παρατηρούμε τις μολύνσεις τον Μάρτιο του 2022», είπε ο Δρ Bragg στο «Fox & Friends Weekend» το πρωί της Κυριακής. «Η συντριπτική πλειονότητα των παιδιών παρουσίασε λοιμώξεις που εξελίχθηκαν αρκετά γρήγορα σε αποστήματα που σχηματίστηκαν στον εγκέφαλο».

Η πλειονότητα των παιδιών παρουσίασε επίσης την παρουσία του βακτηρίου Streptococcus intermedius, το οποίο βρίσκεται συνήθως στη στοματική και αναπνευστική κοιλότητα, είπε.
«Συχνά δεν οδηγεί σε λοιμώξεις, αλλά σίγουρα μπορεί - και είναι ο πιο κοινός οργανισμός που θα οδηγήσει σε εγκεφαλικά αποστήματα», είπε ο Δρ Bragg.
Ο γιατρός πρόσθεσε πως δεν έχει δει στοιχεία ότι οι λοιμώξεις προκαλούνται από περιβαλλοντικούς παράγοντες στη νότια Νεβάδα.
«Δεν βρήκαμε τίποτα τοπικό στην κοινότητά μας που θα μας βοηθούσε να μετριάσουμε και να προσπαθήσουμε να μειώσουμε τα ποσοστά μόλυνσης», είπε σε μια τηλεφωνική συνέντευξη στο Fox News Digital.

«Πολύ διαφορετικό από το κοινό κρυολόγημα»

Όπως εξήγησε ο Δρ Bragg στο «Fox & Friends Weekend», τα παιδιά που ήρθαν στο νοσοκομείο με εγκεφαλικές λοιμώξεις ήταν ήδη «απίστευτα άρρωστα» όταν έφτασαν.
«Είναι πολύ διαφορετικό από το κοινό σου κρυολόγημα», είπε.
Δεν υπήρξαν θάνατοι από αυτά τα παιδιατρικά εγκεφαλικά αποστήματα στη Νεβάδα.
«Τα περισσότερα από τα παιδιά είχαν πυρετό, έντονους πονοκεφάλους , λήθαργο, ίσως ακόμη και νευρολογικά προβλήματα, όπως δυσκολία στην ομιλία ή τη γλώσσα ή αδυναμία».
Δεν υπήρξαν θάνατοι από αυτά τα παιδιατρικά αποστήματα εγκεφάλου στη νότια Νεβάδα και η συντριπτική πλειονότητα των παιδιών έχει «αναρρώσει πλήρως χωρίς νευρολογικό έλλειμμα», είπε ο Δρ Bragg.
Ωστόσο, πολλοί από τους ασθενείς χρειάστηκαν μακροχρόνια λήψη αντιβιοτικών και πολλαπλές χειρουργικές επεμβάσεις.
Μεταξύ 2015 και 2021, η κομητεία Clark στη νότια Νεβάδα έβλεπε μόνο πέντε περιπτώσεις ετησίως σε άτομα ηλικίας 18 ετών και κάτω, δήλωσε η υγειονομική περιφέρεια της Νότιας Νεβάδα.
Το 2022 σημειώθηκαν 17 κρούσματα, σημειώνοντας αύξηση 240%.
Τα παιδιά που ήρθαν στο νοσοκομείο με εγκεφαλικές λοιμώξεις ήταν «απίστευτα άρρωστα» όταν έφτασαν.
Η μέση ηλικία των ασθενών ήταν 12 ετών — και το 76% από αυτούς ήταν άνδρες.

Το CDC ερευνά τις υποθέσεις 

Το CDC συζήτησε για πρώτη φορά την αύξηση των παιδιατρικών εγκεφαλικών αποστημάτων στην εβδομαδιαία έκθεσή του για τη νοσηρότητα και τη θνησιμότητα τον Σεπτέμβριο του 2022.
Αφού τρία παιδιά στην Καλιφόρνια νοσηλεύτηκαν με την πάθηση τον Μάιο του 2022, η υπηρεσία άρχισε να ερευνά τις υποθέσεις.
Τα εγκεφαλικά αποστήματα συνήθως διαγιγνώσκονται με μαγνητικές τομογραφίες, εξετάσεις αίματος ή/και εξετάσεις δειγμάτων από τη μολυσμένη περιοχή. 
«Οι συζητήσεις με κλινικούς ιατρούς σε πολλές πολιτείες έθεσαν ανησυχίες για πιθανή αύξηση των παιδιατρικών ενδοκρανιακών λοιμώξεων, ιδιαίτερα εκείνων που προκαλούνται από Streptococcus intermedius, κατά τη διάρκεια του περασμένου έτους και του πιθανού ρόλου της λοίμωξης SARS-CoV-2», ανέφερε το CDC στην έκθεση.

Πιθανή σύνδεση με πανδημία

Τα εγκεφαλικά αποστήματα στα παιδιά μειώθηκαν όταν ξεκίνησε η πανδημία του COVID-19 και στη συνέχεια αυξήθηκαν το καλοκαίρι του 2021 - περίπου την ίδια στιγμή που άρχισαν να αίτονται οι περιορισμοί που σχετίζονται με την πανδημία, ανέφερε το CDC στην έκθεσή του.
Τα κρούσματα κορυφώθηκαν τον Μάρτιο του 2022 πριν πέσουν στα βασικά επίπεδα.
Περίπου τα μισά από τα παιδιά (δεν απεικονίζονται) με εγκεφαλικές λοιμώξεις παρουσίασαν πονοκεφάλους, πονοκεφάλους με πυρετό και τραύματα στο κεφάλι με κίνδυνο διάσεισης. 
Το χρονοδιάγραμμα οδήγησε ορισμένους να υπστηρίξουν ότι η απότομη αύξηση προκαλείται από τους περιορισμούς λόγω covid όπως η κάλυψη και τα lockdown τα οποία θα μπορούσαν να έχουν οδηγήσει σε εξασθενημένο ανοσοποιητικό σύστημα.
Ο Δρ Déry είπε: «ένα απόστημα εγκεφάλου, προκαλείται από βακτήρια ή παράσιτα, συχνά σε περιπτώσεις όπου οι άνθρωποι έχουν κάνει οδοντιατρική εργασία ή μια επέμβαση ΩΡΛ (αυτί, μύτη και λαιμός).
Και πρόσθεσε: «Δεν παθαίνεις εγκεφαλικό απόστημα απλώς από το πουθενά».
Άλλοι γιατροί είναι επίσης αβέβαιοι για το εάν υπάρχει σύνδεση με την πανδημία.

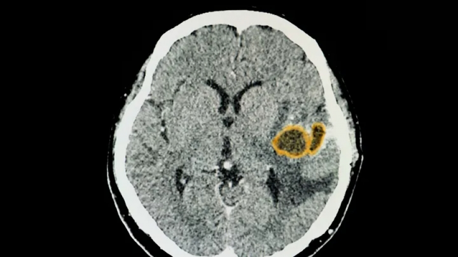
Τι είναι το απόστημα στον εγκέφαλο;

Το απόστημα στον εγκέφαλο ενός – κατά τα άλλα υγιούς – ατόμου συνήθως προκαλείται από βακτηριακή λοίμωξη. Τα μυκητιασικά εγκεφαλικά αποστήματα τείνουν να εκδηλώνονται σε άτομα με εξασθενημένο ανοσοποιητικό σύστημα. Η λοίμωξη προκαλεί τη διόγκωση του εγκεφάλου από τη συλλογή πύου και νεκρών κυττάρων.
Ένα εγκεφαλικό απόστημα σχηματίζεται όταν μύκητες, ιοί ή βακτήρια φτάνουν στον εγκέφαλο μέσω μιας πληγής στο κεφάλι ή μιας λοίμωξης σε κάποιο άλλο μέρος του σώματος.
Σύμφωνα με το Νοσοκομείο Παίδων του Wisconsin, οι λοιμώξεις σε άλλα μέρη του σώματος ευθύνονται περίπου για το 20-50% όλων των περιπτώσεων εγκεφαλικών αποστημάτων.
Οι λοιμώξεις σε καρδιά και πνεύμονες είναι μεταξύ των πιο κοινών αιτιών αποστήματος στον εγκέφαλο. Ωστόσο, ένα απόστημα στον εγκέφαλο μπορεί να ξεκινήσει από μία λοίμωξη στο αυτί ή τα ιγμόρεια, ακόμη και από ένα απόστημα στο δόντι.

www.bankingnews.gr

Ρoή Ειδήσεων

Σχόλια αναγνωστών

Δείτε επίσης