Τελευταία Νέα
Διεθνή

ΗΠΑ – Ευλογιά των πιθήκων: Τα πρώτα κρούσματα σε παιδιά – Καλά στην υγεία τους τα δύο παιδιά

ΗΠΑ – Ευλογιά των πιθήκων: Τα πρώτα κρούσματα σε παιδιά – Καλά στην υγεία τους τα δύο παιδιά
Η αμερικανική κυβέρνηση εξακολουθεί να αξιολογεί εάν για το ξέσπασμα της ευλογιάς των πιθήκων πρέπει να κηρυχθεί κατάσταση εκτάκτου ανάγκης για τη δημόσια υγεία

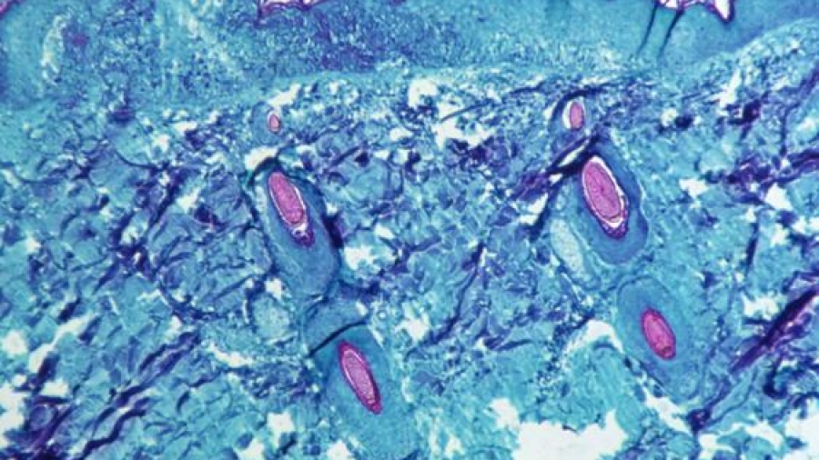
Κρούσματα ευλογιάς των πιθήκων σε παιδιά επιβεβαίωσαν για πρώτη φορά οι αμερικανικές υγειονομικές αρχές, γνωστοποιώντας ότι νοσηλεύονται και είναι καλά στην υγεία τους.
Πρόκειται για ένα νήπιο στην Καλιφόρνια και ένα βρέφος που δεν είναι κάτοικος ΗΠΑ, κρούσματα που δεν σχετίζονται μεταξύ τους και σύμφωνα με τα Κέντρα Ελέγχου και Πρόληψης Ασθενειών (CDC), πρόκειται πιθανότατα για ενδοοικογενειακές λοιμώξεις.
Δεν αποτελεί έκπληξη ότι προέκυψαν κρούσματα σε παιδιά, δήλωσε η δρ Jennifer McQuiston (CDC), ενώ μέχρι στιγμής δεν υπάρχουν ενδείξεις για εξάπλωση του ιού εκτός των κοινοτήτων ομοφυλόφιλων ή αμφιφυλόφιλων. Πρόσθεσε ότι το 99% των 2.891 επιβεβαιωμένων κρουσμάτων ευλογιάς των πιθήκων στις ΗΠΑ αφορούν ομοφυλόφιλους άνδρες, αλλά υπήρξαν λίγες γυναίκες και διεμφυλικά άτομα που μολύνθηκαν.
Από την πλευρά του, ο συντονιστής του Λευκού Οίκου για την αντιμετώπιση της πανδημίας Covid-19, ο δρ Ashish Jha, ανέφερε ότι η αμερικανική κυβέρνηση έχει εξασφαλίσει 300.000 δόσεις εμβολίου κατά της ευλογιάς των πιθήκων και προσπαθεί να επισπεύσει την αποστολή επιπλέον 786.000 δόσεων από τη Δανία.
Το ποσοστό θνητότητας σε προηγούμενα ξεσπάσματα στην Αφρική κυμαινόταν γύρω στο 1%, αλλά εκτιμάται πως είναι ακόμη μικρότερο σε χώρες όπου η ευλογιά των πιθήκων δεν είναι ενδημική, αν και πολλοί ασθενείς έχουν αναφέρει ότι εισήχθησαν σε νοσοκομείο με έντονους πόνους.
Σύμφωνα με τον δρ Ashish Jha, η αμερικανική κυβέρνηση εξακολουθεί να αξιολογεί εάν για το ξέσπασμα της ευλογιάς των πιθήκων πρέπει να κηρυχθεί κατάσταση εκτάκτου ανάγκης για τη δημόσια υγεία.
Σημειώνεται ότι η ευλογιά των πιθήκων είναι μια ιογενής λοίμωξη, της οποίας τα συμπτώματα μοιάζουν με τη γρίπη και προκαλεί δερματικά εξανθήματα, ενώ μεταδίδεται κυρίως μέσω στενής επαφής.
Ήδη, έχουν καταγραφεί πάνω από 14.000 κρούσματα ευλογιάς των πιθήκων σε περίπου 60 χώρες του κόσμου, ενώ πέντε θάνατοι έχουν αναφερθεί στην αφρικανική ήπειρο.

www.bankingnews.gr

Ρoή Ειδήσεων

Σχόλια αναγνωστών

Δείτε επίσης